24.09.2025
При некариозных поражениях бактериальная инфекция и воспалительный процесс отсутствуют, причиной разрушения зубов является комбинация внешних и внутренних неблагоприятных факторов.

При некариозных поражениях бактериальная инфекция и воспалительный процесс отсутствуют, причиной разрушения зубов является комбинация внешних и внутренних неблагоприятных факторов.

Внешние причины:

  • бруксизм (непроизвольный ночной скрежет зубами);
  • употребление слишком твердой пищи;
  • использование зубной щетки с жесткой щетиной, а также излишне интенсивные движения во время чистки зубов;
  • неправильный прикус;
  • употребление продуктов с высоким содержанием кислот (цитрусовые, ягоды, газированные напитки, вино)

Внутренние причины:

  • болезни почек, ЖКТ, сердечно-сосудистой системы;
  • эндокринные нарушения;
  • дефицит кальция и других важных элементов в организме.

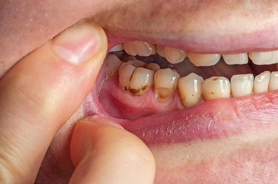
Как проявляются некариозные поражения:

  • чувствительностью к холодному, горячему или кислому;
  • пятнами на эмали — белые, жёлтые или коричневые;
  • бороздками у шейки зуба;
  • истончением, сколами и неровностями краёв;
  • изменением формы зубов.

Чаще всего эти симптомы развиваются медленно. И именно поэтому пациенты обращаются к врачу уже тогда, когда дефект трудно скрыть.

Профилактика некариозных поражений:

  • не пользуйтесь отбеливающими пастами, содержащими абразивные частицы. Отдавайте предпочтение средствам для укрепления эмали;
  • освойте правильную технику чистки зубов;
  • выбирайте щётку средней жёсткости;
  • следите за здоровьем ЖКТ и эндокринной системы;
  • если не можете отказаться от кислых и газированных сладких напитков, уменьшите их количество и пейте через трубочку;
  • страдающим бруксизмом, стоматологи часто рекомендуют использовать защитную каппу во время сна;
  • сбалансируйте свое питание: включите в рацион продукты, содержащие кальций и фосфор. Они укрепляют эмаль;
  • после употребления кислого и сладкого обязательно пейте воду;
  • некоторые лекарства, например Аспирин, способствуют ослаблению эмали. Если нет возможности отказаться от препарата, посоветуйтесь с врачом, может он уменьшит дозировку или назначит дополнительный прием кальция;
  • посещайте стоматолога раз в полгода.

Профилактика некариозных поражений эмали включает повышение защитных функций организма и укрепление зубной структуры. Для этого назначается витаминотерапия (витамин А, С, Е, В6), прием препаратов с микроэлементами (магний, цинк и пр.). Неотъемлемой частью терапии является реминерализация эмали. На начальных стадиях болезни можно использовать реминерализующие препараты, домашние и пасты с кальцием и фтором – «ROCS», «Tooth Mousse», «Splat» и другие. На более поздних этапах рекомендуется глубокое фторирование в кабинете стоматолога.

При наличии значительных деформаций проводится пломбирование иономерными цементами с минимальным препарированием или фотополимерными композитами. Восстановить анатомическую форму зубов и предотвратить их дальнейшее разрушение можно с помощью керамических виниров и коронок.

 

 

Котова Ольга Юрьевна, врач-стоматолог (заведующий)

филиала «Детская стоматологическая поликлиника г. Гродно»

44 21 85

 

поделиться в: